Ray社日本正規代理店 価値あるものを世界からご提案いたします。ダイレクトなサポートでお客様のニーズに迅速に対応。
HOME > 製品情報 > RAYSCAN α Edge
- Ray社について
- RAYは、現在 50カ国以上のお客様に最先端の画像ソリューションを提供しており、歯科医療業界で信頼性の高い革新的なX線画像ソリューションの提供している企業です。
主な特徴
- 低コスト戦略モデル
- 基本性能はそのままにメーカー戦略により徹底した低コスト設計でご提供。
- 運用でも安心の低コストを実現
- メーカー7年長期保証で安心して運用いただけます。
- 360度フルスキャンFDP撮影
- 高性能FDP(フラットパネル)採用でフルスキャン方式で撮影。
ハイクオリティなデータを取得します。しかもパルス方式の低被ばくモデル。 - 短時間スキャンモード搭載
- 術中の確認撮影やお子様の撮影など、短時間に撮影できるため患者、術者のストレスを軽減!
-
3D Cone Beam CT (100×100mm)
歯根状態を分析できる100μmの高画質画像を取得し、下歯槽管と上顎洞の構造分析に最適なCBCTです。
撮影から画像構成まで33秒であるため、インプラント手術中にも、位置や手術の方向性を迅速に確認出来ます。
MAR(Metal Artifact Reduction) メタルアーチファクト低減機能
MAR(メタルアーチファクト低減)
RAYSCANα(3D Edge)の独自アルゴリズムを使用したCBCT再構成技術は、特別なデータ処理や作業を要することなく、アーチファクトやメタルシャドウなどの画像に影響する歪みを大きく減少させます。
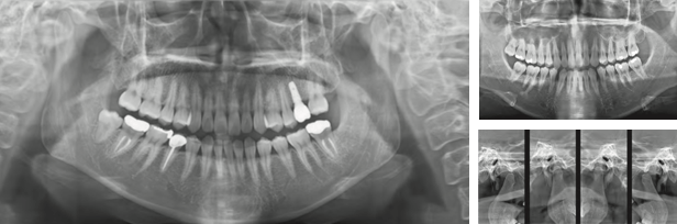
Panoramic
- 診療目的に合わせた多彩な撮影モード
- TMJ撮影、バイトウイング撮影、隣接面直行撮影など、目的に合わせて様々な撮影が可能です。
- Denosing(ノイズ除去)
- 被曝量を避けるためX線量を低下させるとノイズが増え画像の歪みが生じますがRAYSCAN独自のノイズ除去技術により画像の劣化を抑えています。
- 10段階のカスタマイズ画像フィルター
- ユーザーのお好みに合わせた画像フィルターを選択できます。
- AMF(Adaptive Moving Focus)
- RAYSCAN α(3D Edge)のセンサーは、独自のAMF技術によりノイズの少ないパノラマ画像を構成します
FMX View(デジタル切出し機能)
Panoramaから、様々なデンタル切り出しで見ること(保険適用)をサポートいたします。
Cephalometric
- 高速スキャン
- 小児患者のモーションアーチファクトを最小限に抑えた4秒高速スキャン。
- 後頭部拡張スキャン
- 様々な矯正分析に対応できる後頭部画像領域を取得できます。
- 高解像度画像
- 軟組織と骨組織の画像表現技術をそれぞれ適用し、トレースポイントを見つけやすい高解像度画像を取得できます。
- 撮影モード
- Lateral, Lateral Wide, SMV, Carpus, PA
- アップグレード
- RAYSCANα(3D Edge)モデルは、セファロをアップグレード出来る仕様で設計されています。
-
RAYSCAN WEB
A whole new device free viewer
患者とのコミュニケーションをサポート。
タブレットやスマートフォンで画像を表示できます。 院内場所を選ばず、手軽に情報を伝えるツールです。
[オプション機能]
サージカルガイド用「Object Scan」機能搭載口腔模型を3Dデータとして保管活用
石膏模型またはシリコン印象をデジタルモデルに変更し保存&管理サージカルガイドを製作用にSTL(口腔表面データ)をスキャンできます。透明マウスピース矯正を製作用にSTL(口腔表面データ)をスキャンできます。
製品仕様
タイプ Panoramic, Cephalometric, Cone Beam CT 患者ポジション Standing(wheelchair accessible) 焦点 0.5mm 管電圧 60-90kVp 管電流 4〜17mA 重量 Pano + CT: 150kg
Pano + CT + Ceph: 177.5kgCBCT Panoamic Cephalometric(Oneshot type) センサータイプ TFT(a-si)detector TFT(a-si)detector CbTe detector F.O.V 10×10cm, 10×5cm - 20×22.5cm, 22×22.5cm, 26×22.5cm Voxelサイズ(CT) 100〜300μm - - 撮影時間 14sec Max. 14sec Min. 4.0sec 寸法図
RAYSCAN α Edge / RAYSCAN α - 3D Edge
RAYSCAN α Edge -Ceph / RAYSCAN α Edge -Ceph 3D
本製品に関するご質問、お見積、資料請求など、
お電話またはメールフォームにてお気軽にお問い合せください。



