Ray社日本正規代理店 価値あるものを世界からご提案いたします。ダイレクトなサポートでお客様のニーズに迅速に対応。
ラージ&フリーFOV180×160
非合成の360度フルスキャン。
- 前額から顎下まで、歪の無い画像取得。FOV180×160
- ライトガイドフリーFOV 自在に必要域を絞り込み
- 高精細70μの高解像度データを取得。
- ハイスピード再構成 22秒
- 低線量・高速撮影 被ばく低減した撮影が可能
- Ray社について
- RAYは、現在 50カ国以上のお客様に最先端の画像ソリューションを提供しており、歯科医療業界で信頼性の高い革新的なX線画像ソリューションの提供している企業です。
主な特徴
-
前額から顎下まで、歪の無い画像取得。FOV180×160
発展するデジタル広域解析に対応した撮影領域。
3D矯正解析、3D口腔内模型、3D顔貌それぞれのデータを融合した総合解析に対応するこれからのCTモデル。 精巧なそれぞれのデジタル診療情報を包括的に解析するための次世代診療に適した広域CT情報を提供します。
必要領域をコントロール。 世界初フリーFOV
LEDライトにより撮影範囲を自由に調整確認歯科市場では初めてMedical Chest x-ray Light Guideを搭載しました。
ライトガイドビームで誰でも簡単に領域を指定することができます。この機能で、部分撮影などを自在に微調整できます。 -
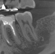
70μm(Voxel Size)高精細モード搭載
End、根尖、破析、分岐部病変など精細読影をサポートします。
CT撮影時、Free FOVで撮影に必要な領域を絞り込み、
的確に高解像度70μmの世界トップレベルのCT画像を再現します。-
-
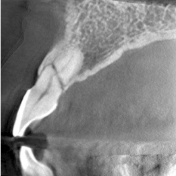
根管END
-
-
前歯クラック
(亀裂) -
埋伏歯
-
過剰歯
-
-
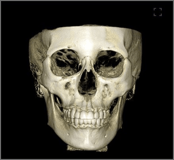
非合成の360度フルスキャン
データ合成無く、1回で360度フルスキャン N点(眉間)からGn点(顎)まで、わずか16秒でスキャン、広範囲を迅速かつ正確に診断します。
-
細部まで高解像度の診断が可能
正確な診断のため、広域撮影だけでなく、ニーズに合わせてスキャン量をライトガードで自由に調整できるため、細部まで高解像度の診断が可能です。
-
迅速な再構築時間
患者は撮影から22秒で確認できるCTスキャンにより、迅速で効率的な治療を受けることができます。
-
印象スキャン機能
印象や石膏モデルを撮影してデータ化する利便性の高い機能です。データはデジタル模型として保管やCAD/CAM用のSTLファイルの抽出に使用できます。
-
被ばく低減
・必要最小限の撮影部位を設定可能
・パルス照射方式採用など、最高の低減技術を駆使ヨーロッパでは、子供の瞳への照射は厳禁となっています。
セファロモデルをご検討の先生方へ・多くの矯正歯科専門医から評価を頂いております。
・特に「0.3秒の瞬間ワンショットセファロ」は小児矯正には特におすすめ!
一般的な方式より高精細はもちろん、瞬間をとらえるので患者の動きによるブレがありません。
舌、気道など軟組織の評価にも活用されています。
- 0.3秒の撮影で瞬間キャプチャー
- 瞬間キャプチャで認識できない微細な動きによる画像エラーまで最小化
- 髪の毛も写る好感度の画像
- 髪の毛は線量が高いと透過されて画像上では写らない。高感度・低線量で安心撮影
- 矯正専門分析用の画像
- 誤差を許さいない矯正分析に必要な臨床ポイントが明確に撮影、オートトレーシングまで対応
- ノーズラインも明瞭に表現
選べるセファロオプションScanやOne Shotなど、2種類のセファロオプションの内、診断目的および使用範囲、導入予算に合わせて自由に選択することができます。
製品仕様
Type Cone Beam CT, Panoramic, Cephalometric, 3D Photography Patient positioning Standing (wheelchair accessible) Focal spot 0.5 Tube current 4〜17mA Tube voltage 60〜90kVp ※上記表はスクロールしてご覧いただけます。
CBCT Panoramic Detector type a-Si TFT a-Si TFT FOV / image size Max. 18×16cm Max. 12cm(H) Free FOV support Yes Yes Voxel size 70〜300μm Exposure time 4.9〜20sec 6.3〜13.9sec ※上記表はスクロールしてご覧いただけます。
Cephalometric(Option) Type SC(Scanning Ceph) OCS(One shot Standard) Detector type CdTe detector a-Si TFT Image size Max. 26×24cm Max. 30×25cm Exposure time 3.7〜18.2sec 0.2/0.8sec ※上記表はスクロールしてご覧いただけます。
寸法図
Pano + CT
Pano + CT + Ceph
本製品に関するご質問、お見積、資料請求など、
お電話またはメールフォームにてお気軽にお問い合せください。






